Claim Your $50 Credit Now

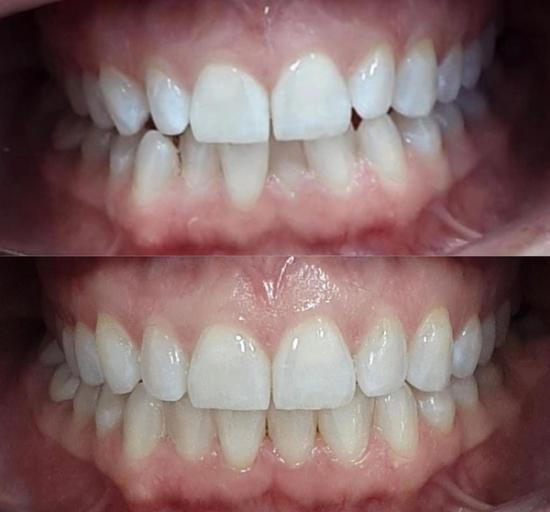
Welcome to The Dental Boutique, where artistry and advanced dentistry unite to create stunning smiles. As part of the Starlight Dental Management network, we specialize in luxury cosmetic treatments delivered with meticulous attention to detail in an upscale, spa-like environment.

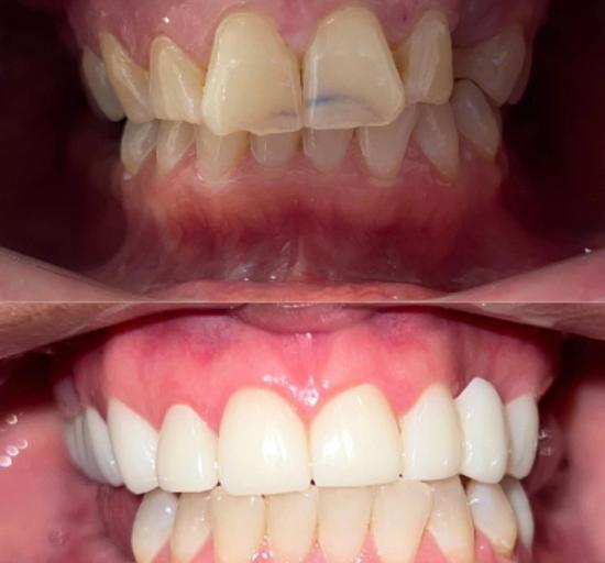
At Pine Ridge Dental on Wiles, our staff and board-certified dentists take pride in offering a wide range of dental services in Coral Springs. With a commitment to excellence, our TOP dental practice near you in Coral Springs caters to patients of all ages, prioritizing their oral health needs by providing them with precision and care. From routine cleanings to advanced procedures such as dental implants and extractions, our experienced Coral Springs dentists near you deliver personalized care in a judgment-free environment. Whether you’re a local resident or a visitor on vacation, rest assured that Pine Ridge Dental on Wiles is your go-to destination for top-notch dental care. Call us today and experience the difference our friendly staff can make in improving and maintaining your oral health.





